USMLE® Step 1 & 2

Kaplan USMLE Step 2: Next step for a patient with head trauma

| 6 Min Read

If you’re preparing for the United States Medical Licensing Examination® (USMLE®) Step 2 exam, you might want to know which questions are most often missed by test-prep takers. Check out this example from Kaplan Medical, and read an expert explanation of the answer. Also check out all posts in this series.

Free study aid when you join the AMA

Medical students who become AMA members can select a free gift from a variety of powerful study aids for the USMLE and COMLEX-USA tests.

Supporting you today as a medical student. Protecting your future as a physician.

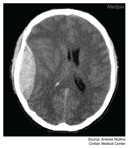
A 34-year-old unconscious man is brought to the emergency department by paramedics after losing consciousness. Three hours ago, he was in a motor vehicle accident in which he was ejected from the car. On the scene, he denied loss of consciousness, was speaking and ambulating normally, and declined further medical care. His medical history is unremarkable, and he takes no medications. His pulse is 42/min, respirations are 12/min and irregular, and blood pressure is 160/96 mm Hg.

Neurologic examination shows that the patient is unresponsive to verbal or painful stimulation, and eye examination shows a fixed and dilated right pupil. The patient is subsequently intubated. Plain radiograph films of the lateral cervical spine show no acute abnormalities with visualization of C7–T1. A CT scan of his head is shown.

CT scan

Which of the following is the most appropriate next step in management?

A. CT scan repeated in 8 hours

B. Emergent craniotomy

C. Hypertonic saline drip in the ICU

D. Hyperventilation to PCO2 <25

E. IV steroids

F. Ventricular shunt placement

 

 

 

 

 

 

 

 

 

 

The correct answer is B.

Kaplan Medical explains why

All patients diagnosed with an acute symptomatic (i.e., unresponsive, bradycardia, bradypnea, and hypertension) epidural hematoma on non-contrast head CT following a traumatic head injury should be managed with emergency craniotomy to evacuate the hematoma and lower ICP. This procedure provides the best means of rapidly evacuating the hematoma and preventing the impending brain herniation.

Why the other answers are wrong

Choice A. Observation with serial CT scans is the correct course of action for a neurologically and hemodynamically stable patient that is diagnosed with an acute epidural hematoma but showing no evidence of increased intracranial pressure (ICP). However, the patient in this vignette is not stable and requires emergent surgical management to evacuate the hematoma and rapidly lower elevated intracranial pressure.

 

Did you answer the question correctly?

Sign in to get tips to remember and learn more from Kaplan Medical about why the other answer choices can be eliminated.

AMA membership has its advantages

  • Access education programs and study guides to help you thrive.
  • Distinguish yourself with AMA leadership opportunities.
  • Enjoy exclusive perks and savings.

Not a member? Become a member now.

FEATURED STORIES FOR MEDICAL STUDENTS

Illustration of checkmarks and x-marks

How to create a Match rank-order list for long-term satisfaction

| 5 Min Read
Background view of a woman giving a speech to a room of people

Maximize medical student leadership skills with these insights

| 3 Min Read
Medical research icon

5 questions for medical students weighing a research-focused path

| 5 Min Read
Medical student Caleb Mahlen presents a poster during the 2023 AMA Medical Student Poster Showcase

1st-time poster presenters offer tips on medical student research

Updated
| 4 Min Read